Endonezyalı Gencin Göğsünden 3 Kilogramlık Kitle Çıkarıldı
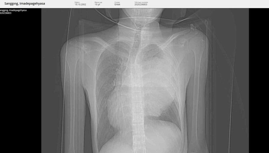
Alanya'da tatil sırasında ağzından kan gelmesi şikayeti ile hastaneye başvuran 19 yaşındaki genç turistin göğüs kafesinden 20 santimetre büyüklüğünde...
Alanya'da tatil sırasında ağzından kan gelmesi şikayeti ile hastaneye başvuran 19 yaşındaki genç turistin göğüs kafesinden 20 santimetre büyüklüğünde ve 3 kilogram ağırlığında kitle çıkarıldı.
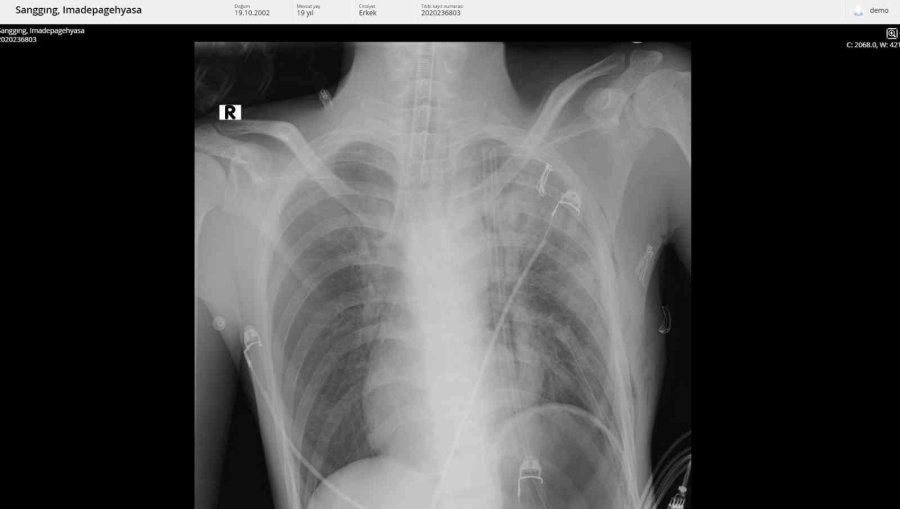
Tatil için Alanya'ya gelen 19 yaşındaki Endonozyalı I Made Pagehyasa Sanggıng, ağzından öksürükle birlikte kan gelmesi şikâyetleri ile Alanya Eğitim ve Araştırma Hastanesi Acil Servise başvurdu. Yapılan tetkik ve görüntülemeler neticesinde Sanggıng'ın sağ akciğerin tamamen fonksiyon dışı kalmasına yol açan bir kitle tespit edildi. Kitlenin ayrıca kalbe ve diğer hayati organlara da ciddi bir baskı oluşturduğu belirlendi. 19 yaşındaki hasta ALKÜ Tıp Fakültesi Göğüs Cerrahisi Anabilim Dalı Başkanı Dr. Öğretim Üyesi Oktay Aslaner tarafından acil ameliyata alındı. Başarılı geçen operasyon sonunda hasta yeniden sağlığına kavuştu. Hastanın yeniden sağlığına kavuştuğunu ifade eden Dr. Aslaner, "Acile başvuran Endonezyalı hastamızda tetkikleri sonucunda sağ göğüs kafesinin içinde dev bir kitle tespit edildi. Kalbi tamamen karşı tarafa itmiş, sol akciğerin ana atar damarını nerdeyse kapatmış şekildeydi. Ekibimle birlikte ameliyata aldık. Ameliyatta sağ göğüs kafesinden iki akciğer arasında köken alan ve sol hemotoraksı dolduran 3 kilo ağırlığında bir kitle çıkardık. Sonrasında hastanın akciğeri açıldı, kalbi rahatladı, akciğer atar damarı normal hale geldi. Kitlenin tamamen çıkarılmasıyla birlikte hasta yeniden sağlığına kavuştu. İlerleyen tıbbi cihazlar ve hastanemizdeki yoğun bakım olanakları bu tür ilerlemiş tümörlere müdahale imkânı sağlamaktadır" dedi.
Endonezyalı Hasta Sanggıng, sağlığına kavuşmanın mutluluğunu yaşayarak Türk hekimlerine ve tüm sağlık çalışanlarına teşekkür etti.





Kaynak:
HABERE YORUM KAT