Antalya'da Hayrat Üzerine Çıkan Çocuk Ölümden Döndü

Okula Yaptırılan Hayrat Çeşmenin Mermer Bloğu Çöktü, 7 Yaşındaki Eymen’in Kaval Kemiği Kırıldı

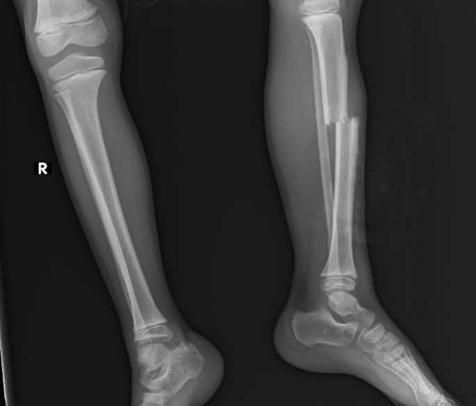
Antalya'da su içmek için okul bahçesine yapılan hayrata gidip üzerine çıkan 7 yaşındaki Eymen, mermer bloğun çökmesi sonucu 1,5 metre yükseklikten beton zemine düştü. Mermerlerin altında kalan küçük çocuğun kaval kemiği kırıldı, vücudunun çeşitli bölgelerinde dikiş atılması gerektiren kesiler oluştu. Anne, "Çocuğumun ayağı kırık, iç kanamadan şüpheleniyorlar. Kulağının arkasında 15 dikiş var. Ölümle burun buruna gelmiş" diyerek, gözyaşı döktü.

Olay, dün saat 16.00 sıralarında Kepez ilçesi Mehmet Akif Ersoy Mahallesindeki Şerife Tufan İlkokulu'nda yaşandı. Edinilen bilgiye göre, okulun karşısında akrabalarının işyerinde bulunan Atiye - Hasan Çiçek çiftinin 7 yaşındaki çocukları Eymen, annesine eğitim gördüğü okulun bahçesindeki hayrattan su içmek istediğini söyledi. Arkadaşlarıyla birlikte okul bahçesine giren Eymen, çeşmeden su içtikten sonra hayratın üzerine çıktı. Bu sırada üst kısımdaki mermer blok bir anda çöktü. Diğer çocuklar kaçarak olayı yara almadan atlatırken, minik Eymen yaklaşık 1,5 metre yükseklikten düşüp, mermer ve beton parçaların altında kaldı. Diğer çocukların durumu bildirmesi üzerine olay yerine gelen anne Atiye Çiçek, çocuğunu kanlar içerisinde görünce büyük bir şok yaşadı. Sol bacak kaval kemiği kırılan, kafa ve vücudunun çeşitli noktalarında kesiler oluşan küçük Eymen, Kepez Devlet Hastanesinde tedavi altına alındı.

"İç kanamadan şüpheleniyorlar"

Olayın halen şokunu atlatamayan anne Atiye Çiçek, şunları söyledi:

"Okul normalde kapalı ama her zaman kapıları açık. Su içmek ve bisiklet sürmek için okula gitmek istemişti. Ben de izin verdim. Fayanslar kırılmış, devrilmiş çocuğumun üzerine. Çocuğumun ayağı kırık, iç kanamadan şüpheleniyorlar. Kulağının arkasında 15 dikiş var. Ölümle burun buruna gelmiş. Ameliyata girecek. Daha 7 yaşında, bünyesi nasıl kaldıracak".

İlk yorum yazan siz olun
Karaman Habercisi olarak Karaman, Konya, Aksaray, Niğde gibi bölge illerinden haberler yayınlıyoruz. UYARI: Küfür, hakaret, rencide edici cümleler veya imalar, inançlara saldırı içeren, imla kuralları ile yazılmamış, Türkçe karakter kullanılmayan ve büyük harflerle yazılmış yorumlar onaylanmamaktadır. Karaman Haber | Konya Haber| Aksaray Haber| Niğde Haber

İlgili Haberler

Sergen Yalçın: "Beklenen Oyunun Gerisindeydik"
Belözoğlu: "Galibiyeti Kaçıran Taraftık"
Serik'te Komşuların Arasında Kan Aktı

Antalya Haberleri

Şüphe Üzerine Koyduğu Kameradan Bebeğine Şiddet Çıktı
Kemer’de Şiddetli Yağış Sonrası Dağlardan İnen Kum Ve Balçıklar Temizleniyor
Alanya’da Araçların Lastiklerini Kesen, Tuvalete Zarar Verip, Marketten Yiyecek Ve İçecek Alan 3 Şüpheli Yakalandı
Sağanak Sonrası Apartman Bahçesindeki Havuz Çöktü, 7 Katlı Apartman Tahliye Edildi
Kemer’de Ocak Ayında 231 Can Dostu Kısırlaştırıldı