"Topuk Dikeni Rahatsızlığında Botoks Yöntemi: Kısa Sürede Sağlığınıza Kavuşun!"
Topuk Dikenine Tek Doz Botoks İle Dakikalar İçerisinde Çözüm
Topuk dikeni rahatsızlığının kadınlarda ve erkeklerde daha sık ileri yaşlarda görülen önemli bir sağlık problemi olduğuna dikkat çeken Ortopedi ve Travmatoloji Uzmanı Prof. Dr. Bahtiyar Demiralp, hastaların tek doz botoks yöntemi ile kısa sürede sağlıklarına kavuşabileceklerine dikkat çekti.
Topuk dikeni hem kadınlarda da erkeklerde de daha çok ileri yaşlarda görülen önemli sağlık problemleri arasında yer alıyor. Topuk kemiğinin hemen alt kısmında biriken kalsiyumdan kaynaklı ortaya çıkan topuk dikenin oluşmasında birçok farklı neden bulunuyor. İnsanların günlük yaşantılarını kısıtlayan bu önemli sağlık sorunundan kurtulmanın birçok yöntemi olsa da botoks işlemi ile de kısa sürede hastalar sağlıklarına kavuşabiliyor.
"Topuk dikeninin başlangıcını topuk tabanı zarının gerginleşmesi oluşturur"
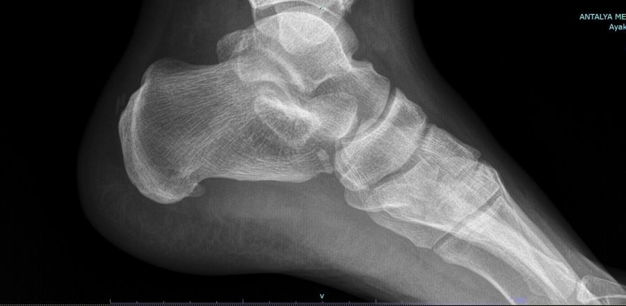
Medical Park Antalya Hastane Kompleksi Ortopedi ve Travmatoloji Uzmanı Prof. Dr. Bahtiyar Demiralp, Plantar Fasiit olarak bilinen topuk dikeninin bir sebepten çok, bir sonuç olduğunu söyledi. Hastalığın nasıl ortaya çıktığı ile ilgili bilgiler veren Demiralp, "Hastaların düz ve çukur tabanlı olması, ramotolojik ve nörolojik sebeplerle hastalarımız bize topuk dikeni şikâyetiyle başvuruda bulunuyor. Genellikle orta ileri yaşta vatandaşlarımız bize şikayette bulunuyor. Topuk dikeninin başlangıcını topuk tabanı zarının gerginleşmesi oluşturur" dedi.
"Burada en sık karşımıza çıkan "plantar fascia" dediğimiz ayakta gerginliktir"
Tedavi yöntemleri hakkında da açıklamalarda bulunan Prof. Dr. Demiralp, "Ağrılı topuk sendromunun nedenlerine baktığımız zaman öncelikli olarak nedenini araştırmamız gerekir. Biz öncelikli olarak hastalarımızın şikayetlerini dinliyoruz. Ardından muayene yapıp gerekirse röntgen çekiyoruz. Burada en sık karşımıza çıkan plantar fascia dediğimiz ayakta gerginliktir. Ayakta yaşanan bu gerginliğin ardından uzun dönemde zarın çekmesiyle topuk kemiğinde uzaması sonucu gül dikenine benzer ince bir kemik yapı oluşturur" sözlerine yer verdi.
"Bu uygulama daha konforlu ve daha kısa sürede sonuç alınabiliyor"
Hastanın iki dakikalık botoks yöntemi ile sağlığına kavuştuğunu belirten Prof. Dr. Demiralp, "Çeşitli tedavi yöntemleri olsa da biz daha çok botoks tedavisini tercih ediyoruz. Bu uygulama diğerlerine göre daha konforlu ve daha kısa sürede sonuç alabiliyoruz. Hastamızı muayene edip filmlerini gördükten sonra enjeksiyona karar verirsek, eğer tıbbı bir problemi yoksa botoks uygulamasını gerçekleştiriyoruz. Hastamıza uygun bir doz seçerek topuğa çok ince bir iğneyle botoks enjeksiyonu yapıyoruz. Amacımız gerginliğe sebep olan, topuk dikenine sebep olan Plantar Fasiitin gevşetilmesidir. Hasta birkaç gün içerisinde bu gevşemenin farkına varıyor. Ağrısı azalıyor. Çok uzun süre ağrısız bir dönem geçirebilir. Hastamız hemen normal hayatına dönebiliyor. Hiçbir kısıtlamamız yok. Cerrahi yöntemde ise hasta en az 2-3 hafta hayatını kısıtlayabilir. Her zaman cerrahiye ihtiyaç yoktur" açıklamasına yer verdi.







HABERE YORUM KAT